Book an
appointment

our service

Our practice areas
and expertise

Shree Jagannath Dental Clinic provides expert dental care, from routine checkups
to advanced treatments, with precision and comfort.

Tooth Extraction

At Shree Jagannath Dental Clinic, we ensure safe and comfortable tooth extractions using advanced techniques to relieve pain, prevent infection, and protect your overall oral health.

Tooth Extraction Icon

Root Canal Treatment

At Shree Jagannath Dental Clinic, our Root Canal Treatment saves your natural tooth by gently removing infection, relieving pain, and restoring strength with precision and care.

Tooth Extraction Icon

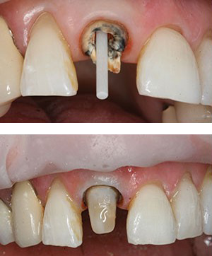
Post & Core

At Shree Jagannath Dental Clinic, our Post & Core treatment rebuilds and strengthens damaged teeth after root canal therapy, providing a stable foundation for crowns and a lasting, confident smile.

Tooth Extraction Icon

Crown & Bridge

At Shree Jagannath Dental Clinic, our Crown & Bridge treatments restore damaged or missing teeth with precision-crafted restorations, ensuring strength, beauty, and a natural-looking smile that lasts.

Tooth Extraction Icon

Orthodontic Treatment

At Shree Jagannath Dental Clinic, our Orthodontic Treatment gently aligns teeth using advanced braces and aligners, creating a balanced bite and a confident, beautiful smile for all ages.

Tooth Extraction Icon

Invisalign

At Shree Jagannath Dental Clinic, our Invisalign treatment straightens your teeth discreetly with clear, comfortable aligners — giving you a perfectly aligned smile without traditional braces.

Tooth Extraction Icon

Scaling , Polishing and Bleaching

At Shree Jagannath Dental Clinic, our Scaling , Polishing and Bleaching treatment removes plaque, tartar, and surface stains, leaving your teeth smooth, shiny, and your mouth feeling fresh and healthy.

Tooth Extraction Icon

Full Mouth Rehabilitation

At Shree Jagannath Dental Clinic, our Full Mouth Rehabilitation combines aesthetics and function to restore your entire dentition for a strong, balanced, and beautiful smile.

Tooth Extraction Icon

Dental Implant

At Shree Jagannath Dental Clinic, our Dental Implants replace missing teeth with strong, natural-looking solutions that restore function, comfort, and lasting confidence.

Tooth Extraction Icon

Full Mouth Implant

At Shree Jagannath Dental Clinic, our Full Mouth Implant solutions restore your entire set of teeth with precision-engineered implants for strength, comfort, and natural aesthetics.

Tooth Extraction Icon

Cleft Lip & Palate Surgery

At Shree Jagannath Dental Clinic, we provide specialized cleft lip and palate surgeries to restore appearance, function, and confidence through compassionate, expert care.

Tooth Extraction Icon

Cancer Surgery

At Shree Jagannath Dental Clinic, our expert team performs oral cancer surgeries with advanced precision to remove affected tissues and promote healthy recovery.

Tooth Extraction Icon

Fracture Surgery

At Shree Jagannath Dental Clinic, our Fracture Surgery expertise ensures precise repair of facial bone injuries to restore structure, function, and aesthetics safely.

Tooth Extraction Icon

Complete Denture

At Shree Jagannath Dental Clinic, our Complete Denture solutions restore your full smile with natural aesthetics, perfect fit, and enhanced comfort for everyday confidence.

Tooth Extraction Icon
Latest solutions, and decades of experience. Explore All Services

Why Choose us

We’re here keep your smile healthy & bright

Years of Experience

12 +

At Shree Jagannath Dental Clinic, we make your smile healthy, bright, and beautiful. We provide a full range of dental treatments and restorations.

Our team consists of highly qualified specialists with extensive experience in modern dentistry.

Discover More

Aesthetic
Dentistry

awards 2021

Night and weekend appointment

Routine & emergency services

Short time wait & luxury amenities

Decades of experience science-based care

12 +

Years of
Dental Excellence

Who We Are

Your Smile, Our Priority

At Shree Jagannath Dental Clinic, we’re dedicated to creating healthy, confident smiles with gentle, advanced dental care. Our expert team ensures every treatment is personalized and comfortable for you and your family.

Experienced Dentists

Our skilled professionals bring years of trusted expertise in dental care.

Personalized Treatment

Every treatment plan is tailored to your smile, comfort, and lifestyle.
Learn More

Easy Online Booking

Schedule your dental visit anytime with our simple online system.

24/7 Dental Support

We’re here for emergencies and urgent dental care anytime.

Insurance Assistance

We help you maximize your dental insurance benefits easily.

Cosmetic Dentistry

Enhance your smile with our aesthetic and smile design treatments.

Our Process

Dedicated to gentle
and patient-focused dental care

Trusted dental experts with years of experience

At Shree Jagannath Dental Clinic, our dentists bring extensive experience and skill to every procedure. We’re committed to delivering gentle, precise, and compassionate care for every patient.

  • Certified and skilled dental specialists
  • Experts in implants, RCT, and cosmetic dentistry

Cutting-edge dental technology for precision care

We use advanced tools and modern dental equipment to ensure high accuracy, comfort, and safety in every treatment — from diagnostics to restorations.

  • Digital X-rays & 3D imaging systems
  • Laser-assisted pain-free treatments

Affordable treatments with complete transparency

We believe in honest, transparent pricing with no hidden costs. Our team provides flexible payment options to make top-quality dental care accessible to everyone.

  • Clear pricing and treatment explanation
  • Affordable plans & easy EMI options

Comfortable, gentle & pain-free dental experience

We use the latest pain management and laser techniques to ensure your dental visit is relaxing, stress-free, and completely comfortable from start to finish.

  • Minimally invasive treatments
  • Comfortable atmosphere & gentle care

Microscopic dentistry for precision results

Our clinic uses dental microscopes for enhanced visibility and accuracy, helping achieve perfect restorations and root canal treatments with superior precision.

  • Microscopic root canal & aesthetic work
  • Higher success rate & long-lasting results
Our Dental Care Process
01

Book Your Visit

Schedule your appointment easily at Shree Jagannath Dental Clinic.
02

Consultation

Meet our experts for a personalized dental check-up.
03

Treatment Begins

Receive quality, pain-free dental care with advanced tools.
04

Smile Guarantee

Enjoy lasting results from Shree Jagannath Dental Clinic.

Shree Jagannath Dental Clinic

Dedicated to your dental health
and confident smile

Clinic Hours

  • Mon 09:00 AM – 01:00 PM / 04:00 PM – 09:00 PM
  • Tue 09:00 AM – 01:00 PM / 04:00 PM – 09:00 PM
  • Wed 09:00 AM – 01:00 PM / 04:00 PM – 09:00 PM
  • Thu 09:00 AM – 01:00 PM / 04:00 PM – 09:00 PM
  • Fri 09:00 AM – 01:00 PM / 04:00 PM – 09:00 PM
  • Sat 09:00 AM – 01:00 PM / 04:00 PM – 09:00 PM
  • Sun 09:00 AM – 01:00 PM / 04:00 PM – 09:00 PM

5+

Expert dental professionals

99%

Happy & satisfied patients

98%

Successful Invisalign results

10+

Years of trusted dental care

testimonials

Priya Sharma

Software Engineer

“I had my smile designing done at Shree Jagannath Dental Clinic and the results are just amazing! The doctors are highly skilled and the staff is very caring. My confidence has truly boosted!”

Rohit Verma

Business Owner

“My root canal treatment was done perfectly without any pain. The clinic maintains great hygiene and uses modern equipment. I’m very satisfied with the overall experience!”

Neha Patel

Teacher

“Highly professional and friendly team! I came here for teeth cleaning and scaling, and the results were fantastic. The dentist explained everything clearly and made me feel completely at ease.”

1200 +

Happy patient
reviews

4.6

Friendly Dentist you can call friends

We’re putting your comfort first

We can help you keep your smile
in tip-top shape